Oltre 200 bambini hanno portato i loro peluche all’Ospedale dei Pupazzi
Ortopedici, pediatri, cardiologi, odontoiatri, studenti di medicina e studenti del Liceo Scientifico Biomedico domenica hanno dato vita all’Ospedale dei Pupazzi. Oltre 200 bambini hanno aderito con i loro peluche al percorso giocoso per eliminare...
Ordine regionale degli psicologi: Firmato il Protocollo di Intesa di Ravenna “Un passo concreto...
Nella giornata mondiale dedicata alla salute mentale, firmato il Protocollo di Intesta tra l’Ordine delle Psicologhe e degli Psicologi dell’Emilia-Romagna, rappresentato dalla Presidente Luana Valletta, e l’Ufficio della Consigliera di Parità supplente della Provincia...
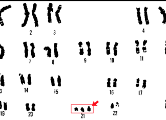
Pranzo di beneficenza per finanziare la ricerca scientifica sulla sindrome di Down
Anche quest'anno, la comunità faentina si stringe attorno alla ricerca scientifica in un grande gesto di solidarietà. Le Parrocchie di Santo Stefano in Corleto e di S. Maria in Basiago organizzano, per domenica 19 Ottobre,...
Nuova casa per il punto d’incontro francescano. Rinasce nel cuore del quartiere Darsena
Il punto d’incontro francescano ha trovato una nuova casa. In un locale di Acer in via Grado 36 nel quartiere Darsena, ha inaugurato questa mattina il punto d’ascolto e di distribuzione materiali per persone...
Influenza: al via la campagna vaccinale in Romagna
Da lunedì 13 ottobre prende il via in Romagna la campagna di vaccinazione contro l’influenza.
Destinatari della vaccinazione gratuita
La vaccinazione antinfluenzale è raccomandata e offerta gratuitamente alle persone di età uguale o superiore a 60...
Sabato nei punti vendita Coop la raccolta viveri di “Dona la spesa”
Spazio alla solidarietà sabato 11 ottobre con “Dona la spesa”, l’iniziativa di raccolta di beni di prima necessità di Coop Alleanza 3.0, che trasforma un’attività quotidiana come fare la spesa in una scelta di...
Castel Bolognese: nasce la scuola pizzaioli per i ragazzi con disabilità e fragilità
Durante la mattinata di mercoledì 8 ottobre a Castel Bolognese è stata inaugurata presso la sede del Civico 25 – il gusto dell’inclusione la Scuola Pizzaioli dedicata a ragazzi con disabilità e fragilità sociali,...
I primi risultati (positivi) del programma per la riduzione dell’obesità infantile in Emilia-Romagna
Quasi un terzo delle bambine e dei bambini che hanno partecipato al programma “Bimbi in forma”, promosso dalla Regione Emilia-Romagna per la lotta all’obesità infantile, ha mostrato una riduzione significativa dell’indice di massa corporea, e...
Federottica: Ottobre mese della vista
Ottobre, da decenni, è il mese dedicato alla vista e Federottica, in collaborazione con l’Albo degli Ottici Optometristi, da decenni promuove la campagna nazionale “Ottobre mese della Vista”.
La campagna di questa edizione è dedicata...
La Fenice: sport e inclusione all’ex torre dell’acquedotto. Così l’arrampicata diventa per tutti
Rinascita e resilienza sono le parole chiave dell’evento sportivo La Fenice. Domenica all’ex torre dell’acquedotto di via Vicoli ci sarà una giornata dedicata all’arrampicata sportiva per tutti. Anche le persone con disabilità potranno scalare...


































































