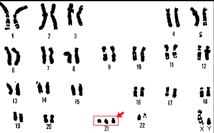
Anche quest’anno, la comunità faentina si stringe attorno alla ricerca scientifica in un grande gesto di solidarietà. Le Parrocchie di Santo Stefano in Corleto e di S. Maria in Basiago organizzano, per domenica 19 Ottobre, la giornata di beneficenza intitolata“La Speranza fa 21”, per sostenere il lavoro di ricerca sulla sindrome di Down (Trisomia 21).
L’iniziativa, patrocinata dal Comune di Faenza e supportata da numerose associazioni locali, mira a raccogliere fondi da destinare al Laboratorio di Genomica dell’Università di Bologna, guidato dal Prof. Pierluigi Strippoli. Il progetto si sviluppa seguendo l’eredità scientifica del Prof. Jérôme Lejeune (1926-1994) e mira a procedere verso una sperimentazione clinica volta a migliorare lo sviluppo psicomotorio e le abilità cognitive dei bambini con trisomia 21.
La giornata si aprirà con i momenti di fede nelle due parrocchie: la S. Messa delle ore 10 a S. Maria in Basiago e quella delleore 11 a S. Stefano in Corleto.
Il cuore dell’evento sarà il Pranzo a buffet che prenderà il via alle ore 12 aBasiago, presso la Cripta di S. Stefano in Corleto. Sarà una vera e propria festa, un momento di incontro e gioia con musica, canti e balli, che vedrà la partecipazione delle famiglie dei bambini, degli amici e dei ricercatori.
A seguire, il Prof. Pierluigi Strippoli terrà un importante intervento dal titolo:“Una strada verso la scoperta di nuovi approcci terapeutici per la trisomia 21 – sindrome di Down”, condividendo i progressi e le speranze della ricerca in corso.
Per partecipare al pranzo di beneficenza, è necessario prenotare inviando un WhatsApp o un SMS entro il 16 OTTOBRE.
Contatti per la prenotazione: Alberto: 328 5814056 e Marco: 366 1032689
Il contributo richiesto per il pranzo è di € 20 per gli adulti, € 10 per i ragazzi dagli 8 ai 16 anni, mentre ègratuito per i bambini fino agli 8 anni.
Si può sostenere l’iniziativa con una donazione attraverso un un versamento a Parrocchia S. Stefano in Corleto utilizzando l’IBANIT91Y0854223700000000056792 con causale: erogazione liberale evento 19 ottobre 2025. Per ricevere la ricevuta, si può scrivere asantostefanocorleto@gmail.com.
Ufficio Stampa

























































